Mitra Dolatkhah, Yadollah Omidi*
Dr. Yadollah Omidi (Pharm.D., Ph.D.) is a Professor of Pharmaceutical Sciences at TUOMS Faculty of Pharmacy, working on advanced multifunctional nanobiosystems. He has worked at Cardiff University and University of Pennsylvania. He has published over 210 papers and 18 book chapters, supervised and mentored over 100 graduate/postgraduate students/researchers.
|
Hossein Khani-Meinagh, Hossein Mostafavi*  , Norbert Reiling, Majid Mahdavi, Gholamreza Zarrini
Synthesis of some new 2-pyrazinoic acid esters and evaluation of their anti-mycobacterial, anti -bacterial, anti-fungal activity, and cytotoxicity values on the humane macrophages and on the human leukemia K562 cell lines as well.
|
Daria Franskevych  , Svitlana Prylutska*  , Iryna Grynyuk  , Ganna Pasichnyk  , Liudmyla Drobot  , Olga Matyshevska  , Uwe Ritter
Synergic cytotoxic activity of photoexcited C60 fullerene and cisplatin in a low concentration against leukemic L1210 cells resistant to cisplatin was established. The activation of p38 MAP kinase, decrease of mitochondrial membrane potential and L1210R cells accumulation in subG1 phase were found.
|
Elham Mehdizadeh, Mohammad Khalaj-Kondori, Zeinab Shaghaghi-Tarakdari, Saeed Sadigh-Eteghad, Mahnaz Talebi*, Sasan Andalib*
DNA was extracted from blood samples. PCR-RFLP was thereafter performed. Restriction products were separated by electrophoresis in 3% agarose gel with the aid of DNA safe stain and visualized in a UV transilluminator.
|
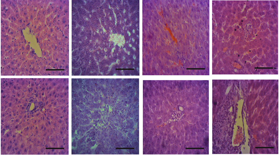
Halyna Kuznietsova*  , Oksana Lynchak, Natalia Dziubenko, Tetyana Herheliuk, Yuriy Prylutskyy, Volodymyr Rybalchenko, Uwe Ritter
Oxidative stress has been suggested the main trigger and pathological mechanism of toxic liver injury. Powerful free radical scavenger ะก60 fullerene diminishes the signs of acute and chronic liver injury and inhibits EGFR expression in liver cells.
|
Preetham Jinadatta*, Sharath Rajshekarappa, Kiran Sundera Raja Rao, Sujan Ganapathy Pasura Subbaiah, Sudhesh Shastri
Ethanol extract of stem of Gnetum ula, traditionally used to cure Jaundice, was subjected to bioactivity isolation yielded gnetol compound and evaluated for antioxidant and hepatoprotective activities. Gnetol showed better activity than the ethanol extract proving its traditional use, which was confirmed by in silico studies.
|
Morteza Mahmoudi*, Sherry Moss
Morteza Mahmoudi is recognized through his outstanding works in the area of “Overlooked Factors” at the (nano)biointerfaces. His current research involves control of protein corona decoration at the surface of nanoparticles and hidden parameters that affect the nanobio interfaces for efficient cardiac and neurological applications.
|