<script> window.dataLayer = window.dataLayer || []; function gtag(){dataLayer.push(arguments);} gtag('js', new Date()); gtag('config', 'UA-48293608-1'); </script>
Logo-bi
Editorial
Ghaith Aljayyoussi, Muthanna Abdulkarim, Peter Griffiths, Mark Gumbleton*
Bioimpacts. 2012;2(4): 173-174. doi: 10.5681/bi.2012.029
PMCID: PMC3648940     PMID: 23678457     Scopus ID: 84876813203    
PDF
XML
Cited By:
Review
Ali Nokhodchi*, Shaista Raja, Pryia Patel, Kofi Asare-Addo
Bioimpacts. 2012;2(4): 175-187. doi: 10.5681/bi.2012.027
PMCID: PMC3648939     PMID: 23678458     Scopus ID: 84876799240    
Original Research
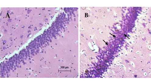
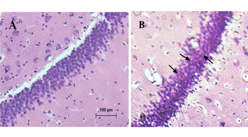
Shirin Babri, Mohammad Amani*, Gisou Mohaddes, Alireza Alihemmati, Hadi Ebrahimi
Bioimpacts. 2012;2(4): 189-194. doi: 10.5681/bi.2012.022
PMCID: PMC3648935     PMID: 23678459     Scopus ID: 84876794290    
PDF
XML
Cited By:
Original Research
Omid Arjmandi Tash, Seyed Esmail Razavi*
Bioimpacts. 2012;2(4): 195-205. doi: 10.5681/bi.2012.023
PMCID: PMC3648938     PMID: 23678460     Scopus ID: 84876813032    
PDF
XML
Cited By:
Original Research
Mohammad Nojavan, Karrim Shamsasenjan*, Ali Akbar Movassaghpour, Parvin Akbarzadehlaleh, Seyd Esmail Torabi, Morteza Ghojazadeh
Bioimpacts. 2012;2(4): 207-212. doi: 10.5681/bi.2012.016
PMCID: PMC3648936     PMID: 23678461     Scopus ID: 84876809452    
PDF
XML
Cited By:
Spotlight
Solat Eslami, Zahra Barzgari, Negar Saliani, Nazli Saeedi, Abolfazl Barzegari*
Bioimpacts. 2012;2(4): 213-215. doi: 10.5681/bi.2012.028
PMCID: PMC3648937     PMID: 23678462     Scopus ID: 84876813887    
PDF
XML
Cited By: