Farzaneh Bilan  , Mohammad Amini, Mohammad Amin Doustvandi, Maryam Tohidast, Amir Baghbanzadeh, Seyed Samad Hosseini  , Ahad Mokhtarzadeh*  , Behzad Baradaran*
|
Havva Afshari  , Shokoofe Noori*  , Mitra Nourbakhsh, Azam Daraei, Mahsa Azami Movahed, Afshin Zarghi
|
Navid Mohammadjani  , Sahand Karimi, Musa Moetasam Zorab  , Morahem Ashengroph*  , Mehran Alavi*
|
Sara Shamsian  , Babak Sokouti, Siavoush Dastmalchi*
|
Hamed Zare  , Hamid Bakherad*  , Arman Nasr Esfahani, Mohamad Norouzi, Hossein Aghamollaei, Seyed Latif Mousavi Gargari, Fatemeh Mahmoodi, Mahdi Aliomrani, Walead Ebrahimizadeh
|
Mazhar Mushtaq*  , Maira Mahmood  , Uzma Jabbar  , Uh-Hyun Kim
|
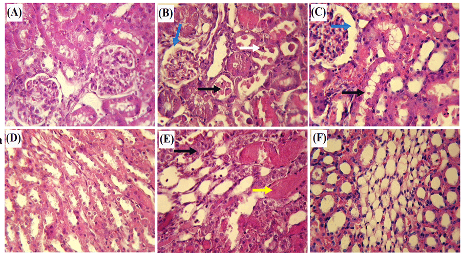
Sahar Janfeshan  , Fatemeh Masjedi  , Zeinab Karimi*
|
Ali Zeiz  , Ranin Kawtharani, Mirvat Elmasri, Ghada Khawaja, Eva Hamade, Aida Habib, Abeer J. Ayoub, Mohamed Abarbri, Mohammad H. El-Dakdouki*
|